ご相談内容
「下の奥歯を失ってから時間が経ってしまった。食事がしにくいのでしっかり噛めるようにしたい。歯並びも悪くなってきたので、きれいに整えたい」とご相談いただきました。
カウンセリング・診断結果
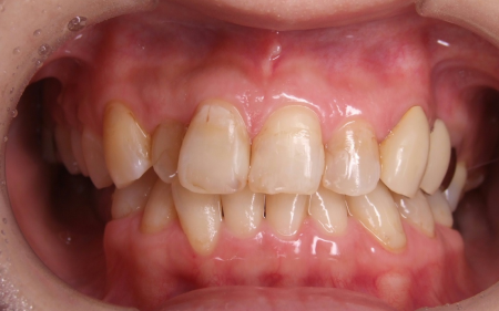
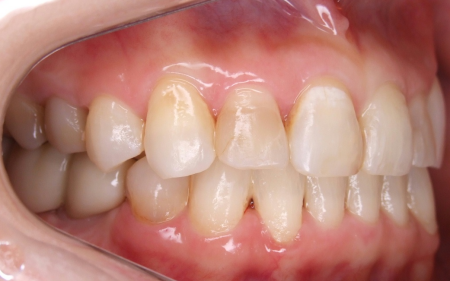
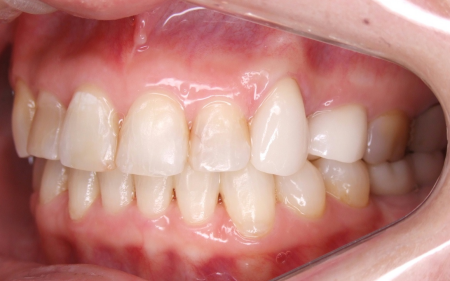
拝見したところ、歯と歯が並ぶ土台の骨「歯槽基底」の大きさの不調和により歯並びがガタガタになる「叢生(そうせい)」が全体的に生じており、また上下の前歯の重なりが深いため下の歯が見えない「過蓋咬合(かがいこうごう)」も認められました。
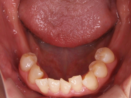
下の奥歯5本(右第2小臼歯/5番、左右第1大臼歯/6番、左右第2大臼歯/7番)が欠損したまま長く放置されていたことが原因で、噛み合う歯がなかった左上の奥歯(第1大臼歯)は本来の位置より下に伸びる「挺出(ていしゅつ)」が起き、左下の歯2本(第1小臼歯/4番、第2小臼歯)も内側に倒れたことで、下前歯の叢生が悪化したと考えられます。
このまま治療せずにいると、食べ物をしっかり噛むことができず消化吸収が悪くなったり、顎の関節に負担がかかることで「顎関節症」を引き起こしたりする可能性があります。
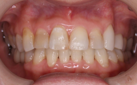
さらに左上の歯(第1小臼歯)の欠損部位は両隣の歯2本(犬歯/3番、第2小臼歯)を土台に人工歯を橋渡しにする被せ物「ブリッジ」が装着されており、お口を開けたときに銀歯が目立つことに加えて、歯の色が全体的に黄ばんでいるため見た目が良くない状態でした。
患者様は噛み合わせを安定させること、歯の色味や歯並びを整えて見た目をきれいにすることを希望されました。
行ったご提案・治療内容
矯正歯科担当医中井は北海道大学にて咬合治療を学び、さらに咬合治療で著名な先生の教えを取り入れ、理想的な歯並び・嚙み合わせに必要な要素を4つに分類して咬合治療を行っています。
理想的な歯並び・嚙み合わせに必要な要素 4つ
A. 適切な咬合高径、適切な咬合平面が得られている。
B. 適切なアンテリアガイダンス(下顎前歯の上顎前歯に対する動的安定性)が得られていて、顎関節との調和が取れている。
C. 臼歯(奥歯)が、セントリックストップで緊密に咬合し、顎関節とアンテリアガイダンスへの干渉がない。
D. 唇などの軟組織、口元との調和が取れている。
これら4つの要素を満たすために以下の4つの治療が必要でした。
① 欠損した奥歯を補う→要素C
② 叢生の改善→要素B
③ 深い噛み合わせを適切な高さに戻す「咬合挙上」→要素A
④ 挺出した左上の奥歯(第1大臼歯)を歯ぐき(歯槽骨)に沈める「圧下」→要素A
奥歯がすべて欠損している状態での矯正治療は難しいことから、まずは①を実現するために人工歯根を埋め込む「インプラント治療」を行い、その後②~④の治療のためにお口全体の矯正治療を提案したところ、同意いただきました。
はじめに咬合治療の治療計画を策定するために精密検査を行います。
セファロ側面LRの分析により現在の右下前歯の前後的な位置は、下顎の骨に対して適切な位置にあると評価できました。③深い噛み合わせを適切な高さに戻す「咬合挙上」を行うと下顎骨はスイングバックします。下顎のスイングバック予想量を加味したうえでの口元イーラインの評価でも現在の右下前歯の前後的な位置は適切であると判断しました(要素D)。またセファロ正面PAの分析により右下前歯は顔の中心と一致していると評価できました。
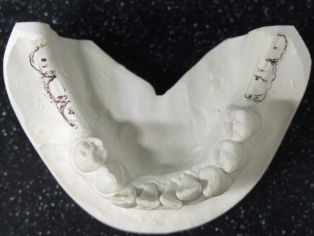
したがって右下前歯を動かさない計画のもと右下前歯の位置を基準としてそれ以外の歯を並べ直して理想的な歯並び、噛み合わせを再現した「セットアップ模型」を製作しました。
セットアップ模型:患者様の歯型をもとに作製した模型の歯の部分を切りだしてバラバラにしてから理想的な位置に並べ直して、咬合治療のゴールをシミュレーションし、確認するために用います。
このセットアップ模型を計測することでインプラントを埋入しなければならない正しい位置を知ることができます。
☆今回は右下前歯の位置を動かさない計画でしたので、治療前の右下前歯の位置を基準にインプラント埋入位置を決定しました。もし下顎の前歯を後方に移動したり、正中を変更したりする計画の場合にはこの移動量を加味してインプラント埋入位置を算定する必要があります。
患者様の状況では、インプラント治療単独と矯正治療単独の治療が困難だったため、インプラント専門医と矯正専門医で上記情報の共有をしっかり行い、治療を進めています。
下の奥歯4本(右第2小臼歯、左第1大臼歯、左右第2大臼歯)には、シミュレーションで決定した位置に正確にインプラントを埋入しました。
次に、左上のブリッジの土台歯だった2本(犬歯、第2小臼歯)とインプラントを埋め込んだ4本それぞれに仮歯を装着したあと、上下すべての歯の表側に矯正装置を装着します。
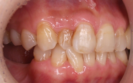
挺出した左上奥歯(第1大臼歯)がこの患者さまにとって最も大きな問題でした。PAというセファロ分析では、この伸び出た左上奥歯によって左右の上顎第一大臼歯結んだ咬合平面が極端に右上がりになっていました (キャント)。このままインプラントの歯をいれてしまうと顎関節症だけでなく、顔が歪んでしまうリスクもあります。しかし、全体的には咬合高径が低下した状態であったため、適切な咬合高径と咬合平面を矯正治療にてバランスよく設定するのは難しいケースでした。咬合治療の進め方としてはまず、最初に適切な咬合高径、咬合平面を決定することが重要になります。これは総入れ歯の治療と同様です(要素A)。
次にアンテリアガイダンスの設定を行なっていきます。適切な咬合高径の設定・咬合挙上により下顎がスイングバックしているため、上顎の前歯は後方に移動しています。上下の歯の中心を揃えるのに苦労しました(要素B)。
理想的な咬合高径(要素A)・アンテリアガイダンス(要素B)が得られた結果、口元との調和(要素D)も満たされたため矯正装置を外し、固定式のリテーナーを上下の前歯の裏側に装着しました。要素C臼歯の嚙み合わせ治療をインプラント専門医にバトンタッチします。
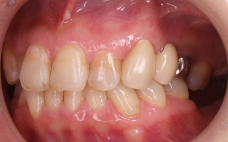
矯正治療が終了した後半年間、要素A要素B要素Dに変化がないか?安定しているか?を観察したあと、左下のインプラント2本(第1大臼歯、第2大臼歯)にはそれぞれ単独の被せ物、右下の奥歯3本(第2小臼歯、第1大臼歯、第2大臼歯)にはインプラントを土台にしたブリッジ、左上の歯3本(犬歯、第1小臼歯、第2小臼歯)には歯の大きさを調整して犬歯と第2小臼歯にそれぞれ単独の被せ物を装着しました
被せ物の素材は患者様のご希望に沿い、天然歯のような透明感があり審美性と耐久性に優れた「セラミック」を選択しています。
また、天然歯の黄ばみを改善するために、歯科医院で施術する「オフィスホワイトニング」と、ご自宅で行っていただく「ホームホワイトニング」を併用した「デュアルホワイトニング」をお口全体に施しました。 デュアルホワイトニングは短期間で理想の白さになり、色の後戻りもしにくいのがメリットです。 オフィスホワイトニングは1回、ホームホワイトニングは約3ヶ月ほど行って治療を完了しています。
歯科医療従事者の方へ 補足
ここまで読んでいただいてありがとうございました。咬合治療の経験豊富な先生方からご指摘をいただきそうなポイントを補足いたします。
今回のセットアップ模型では咬合挙上による下顎骨のスイングバックがシミュレーションされていません。本来であればフェイスボウトランスファーを行い、平行模型を半調整性の咬合器にマウントしてセットアップ模型を作製し、下顎骨のスイングバックが許容できる範囲をシミュレーションするべきですね。
この患者様の場合上顎左側のブリッジを外し、支台歯を単冠にして残ったスペースを活用しての矯正治療であったため大幅な下顎骨のスイングバックは許されませんでした。この患者様の初診でのAB間距離は37mmでしたので、咬合挙上後のAB間距離を38mm~39mm、下顎骨の前後的スイングバック量を1mm~2mmと想定して咬合治療を行っています。治療計画策定段階でこの下顎骨のスイングバックにあわせて下顎前歯の唇側へのフレアアウトを1mm程度行う予定としていました。この計画(実際の下顎の配列はセットアップ模型よりも1mm程度前方)をインプラント専門医と共有し、インプラント埋入位置のアジャストを行っています。
PA分析では、挺出した左上第1大臼歯によって左右の上顎第一大臼を歯結んだ咬合平面に極端な右上がりの傾斜(キャント)が発生しています。咬合治療の進め方としてはまず左上ブリッジの支台歯(犬歯、第2小臼歯)をTEKに変更(一般歯科担当医)とインプラント4本それぞれにTEKの装着(インプラント専門医)を行いました。上下に矯正装置を装着するタイミングでオーバーレイテクニックを行い、下顎骨のスイングバック量を評価しながら咬合治療のゴール設定である咬合平面、咬合高径を決定します。この咬合平面を基準に左上第1大臼歯の圧下を行っています。
術後の経過・現在のご様子
インプラントを埋め込んだことで食べ物がしっかり噛めるようになりました。歯の黄ばみも改善し、歯並びも整ったことで美しい口元を取り戻しています。
患者様には「40代で入れ歯を避けることができてよかった。なんでも噛めて、コンプレックスだった見た目もきれいになってとてもうれしい」と大変ご満足いただきました。
今後は歯周病予防のため、定期的にご通院いただきます。
この治療のリスクについて
- 外科手術のため、術後に痛みや腫れ、違和感を伴います
- メンテナンスを怠ったり、喫煙したりすると、お口の中に大きな悪影響を及ぼし、インプラント周囲炎などにかかる可能性があります
- 治療中、装置によってまれに頬の内側が傷つき、口内炎になる場合があります
- 歯の移動に伴って、違和感や痛みを感じる場合があります
- 得られるホワイトニング効果は歯の質により様々です。予定通りの白さに達しない場合もあります
- 自費診療(保険適用外治療)です
- 年齢・性別
- 40代女性
- 診療種別
- 自由診療
- 治療期間の目安
- 2年
- 治療費総額の目安
-
矯正治療 825,000円
インプラント治療 2,000,000円
デュアルホワイトニング 49,500円+ホームホワイトニング 11,000円(ジェルのみ4本追加購入)
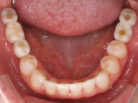
| 治療前 | 治療後 |
|---|---|
|
|
| 模型による治療のシミュレーション |
|---|
クリニックより
長期的に安定する噛み合わせを提供でき、当院もうれしく思っております。
当院では様々な専門医が在籍し連携を取っているため、ひとつのクリニックで多角的な治療を行い、患者様によりご満足いただける環境で治療を提供することが可能です。
インプラント治療や歯の黄ばみ、歯並びでお悩みの方は、ぜひ当院にご相談ください。
この治療にあたった矯正専門医
中井 丈生(なかい たけし)
北海道大学 歯学部 卒業
歯学博士
日本矯正歯科学会 会員
日本舌側矯正歯科学会 会員
Harmony Lingnal 認定Dr
Invisalign 認定Dr
Digital orthodontics study club 会員
この治療にあたったインプラント専門医
佐藤 成実(さとう なるみ)
東京歯科大学 卒業
東京医科歯科大学インプラント外来医局員
日本口腔インプラント学会 専門医
















